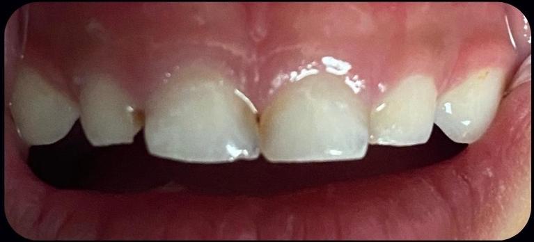
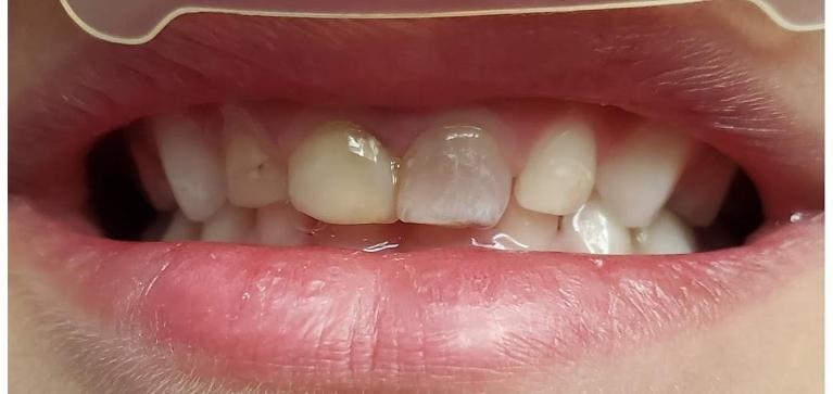
Check out a few of our before and after images below.
Smile Gallery Categories
Dr. Shelby and her staff are amazing!
“We brought our 5 year old daughter in for fillings, and I was so impressed! They are warm and welcoming, and Dr. Shelby is incredible with the kids. Everyone I see there leaves with smiles on their faces, and my kids absolutely love going to see her!"
 
 
 
 
 
 
 
 
 
 
 
 
 
 
 
 
 
 
 
 
 
 
 
 
 
 
 
 
 
 
 
 
 
 
 
 
 
 
 
 
 
 
 
 
 
 
 
 
 
 
 
